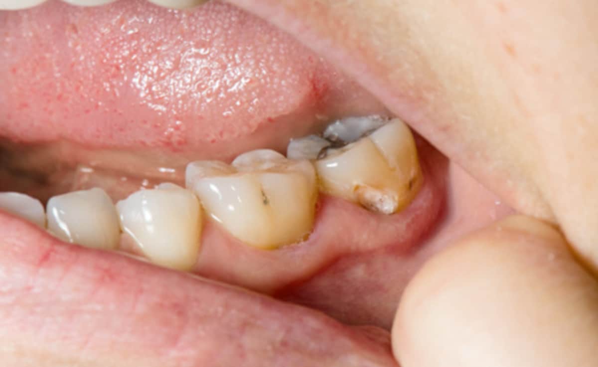
आज की खबर: दांतों में दर्द और कीड़े का घरेलू इलाज है यहां, जानें कीड़ा लगे, पीले, खोखले दांत कैसे होंगे ठीक

Dant Mein Keede Ka Ilaj: आज हम आपको दो ऐसे इंग्रेडिएंट्स के बारे में बताने वाले हैं जो आपके दांतों से जुड़ी कई समस्याओं से राहत दिलाने में मदद कर सकते हैं. तो चलिए बिना देरी किए जानते हैं कौन से हैं वो दो इंग्रेडिएंट्स. 
पूरा पढ़ें

Leave a Reply

Your email address will not be published. Required fields are marked *